上顎前突

上顎前突

symptoms_img02

いわゆる「出っ歯」といわれる状態です。
多くは先天的な骨格によるもので、他にアゴの骨と歯のバランスが悪い場合、また子どもの「しゃぶりぐせ」や下唇を咬む癖といった生活習慣による場合があります。
見た目だけの問題ではなく、食事でよく噛めない、口の中が乾いて虫歯や歯周病になりやすい、顎関節症になりやすいなども考えられます。
歯列矯正のみで治療可能な場合と、外科手術が必要な場合があります。お子さまの場合は、下顎の骨の成長を促す方法を取る場合もあります。

原因は?

上の顎が大きく成長しすぎたり、下の顎の成長が不十分だったりといった骨格のバランスの乱れが原因となるケースが多く見られます。また、指しゃぶりや爪を噛む癖、口呼吸などの習慣によって前歯が出てしまうこともあります。

治さないとどうなるの?

  • 前歯が出ているため、転倒などの衝撃を受けた際に前歯がぶつかり、歯が折れてしまうリスクが高くなります。
  • 口を閉じにくいためにお口の中が乾燥しやすく、虫歯や歯周病のリスクが高まります。
  • 上下の歯がうまく噛み合わないために、顎関節や周辺の筋肉に負担がかかり、顎関節症を招く恐れがあります。

出っ歯(上顎前突)の治療例

出っ歯を治したい

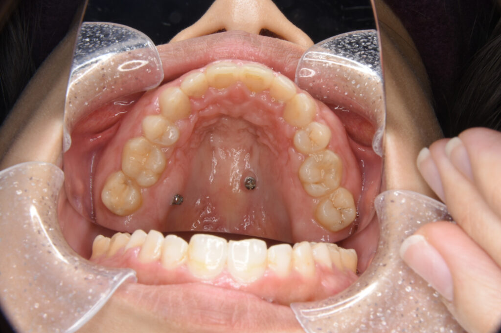
前歯が出ているために口が閉じにくく、口元が目立つことに悩まれていた方です。早期の改善を望まれていたため、抜歯とワイヤー矯正、歯科矯正用アンカースクリューによる治療を実施しました。

Before

Before

Before

After

After

After

Before

After

年齢20代
治療の内容上顎左右側第一小臼歯を抜歯。上顎舌側下顎唇側ワイヤー矯正装置、口蓋に歯科矯正用アンカースクリュー2本を用いた矯正治療。
期間・回数1年8ヶ月・20回
費用約115万円+消費税(矯正歯科治療は公的健康保険の対象外の自由(自費)診療となります。)
リスク・副作用 ・歯が動くため、痛みを感じる場合があります。
・装置を装着しているため、ブラッシングが不十分な場合、虫歯や歯周病のリスクが高まります。
・治療終了後、保定装置を指示通り使用しない場合、後戻りが生じる可能性が高くなります。

よくある質問(FAQ)

Q.抜歯はありますか?

A1.口を閉じるのが難しい場合や前歯を大きく動かす必要がある場合には、犬歯の後ろにある第一小臼歯を抜歯する可能性が高くなります。ただし、歯を動かすスペースが確保できる場合には抜歯なしでの治療が可能です。抜歯の必要性や抜歯する歯については、精密検査の結果を見ながら相談の上で決定します。

Q.治療後のアフターフォローはありますか?

A2.矯正治療終了後、きれいに整った歯並びを維持するためには、定期的な検診と保定装置の装着が必要です。当院では、歯並びの状況を確認しながらきめ細やかなフォローを行っています。

Q.矯正をすると顔つきは変わりますか?

A3. 矯正治療によって前歯が適正な位置に並ぶと、突出していた口元が引き込まれ、鼻先と顎先を結んだEラインが整います。また、口を閉じやすくなるため顎にできやすかったシワも解消できます。

大阪市北区の
みなみもりまちN矯正歯科は
矯正歯科を専門に行う
歯科医師がいるクリニックです
大阪市北区のみなみもりまちN矯正歯科は矯正歯科を専門に行う歯科医師がいるクリニックです 診療時間 9:00~12:00/15:00~21:00 休診  月曜/水曜/第1・2・5日曜/祝日大阪市北区のみなみもりまちN矯正歯科は矯正歯科を専門に行う歯科医師がいるクリニックです 診療時間 9:00~12:00/15:00~21:00 休診  月曜/水曜/第1・2・5日曜/祝日

PAGE TOP